找回密码
 注册
搜索
热搜: 照片 眼镜 免费
查看: 751|回复: 0

[全澳洲] 可怕!比太阳还毒的澳洲本土防晒霜 多处皮肤烧伤 选购谨慎

[复制链接]
发表于 2017-1-12 16:13:12 | 显示全部楼层 |阅读模式
澳洲的紫外线大家都领略过了,就在这两天,新州各地正在变态热的“煎熬中”慢慢熟透了。。

QQ截图20170112150220.png

而且这股热浪还在继续东移准备席卷悉尼、墨尔本、昆州多地!

连孜然都省了,因为已被烤焦!!

QQ截图20170112150215.png

就在昨天悉尼紫外线指数都飙到14了,已经大大超过了已经属于极端情况的‘11’了!!!

防晒,防晒,防晒,是第一要务!!!

QQ截图20170112150209.png

说到防晒,很多人没领略到的是澳洲的两个国民级别“防晒霜”,简直比太阳还毒辣,比紫外线还杀肤!!!

【Banana Boat】

Banana Boat 在澳洲是相当受宠,超市普及率非常之高,一贯走平民路线,旗下很多婴幼儿产品,所以一直备受国民青睐。

就在昨天,澳洲9号台曝光了一则关于Banana Boat 质量问题的新闻。

QQ截图20170112150138.png

新闻里提到,这个夏天才刚刚过半,Banana Boat公司就已经收到了上百封的投诉信!

QQ截图20170112150045.png

这些消费者表示,他们在使用了Banana Boat 的防晒霜之后均出现了严重的烧伤,里面有大人,更有很多的小朋友。


***维州5岁小女孩 皮肤一级烧伤***

QQ截图20170112150113.png

维州妈妈Danielle Batten 告诉记者,在去海边之前她给5岁女儿涂抹了 Banana Boat EveryDay Faces SPF 50+防晒霜,在12pm -1.30pm 间在海滩玩了仅有1个多小时,到了晚上,女儿的整个后背就红了,半夜里孩子直喊疼。

QQ截图20170112150127.png

第二天到医院一检查,鉴定为一级烧伤,而且医生表示可能还会留疤。

现在女儿只能躲着阳光,Batten 女式提醒各位家长,要谨慎使用这款防晒霜。

***布里斯班9岁小女孩 皮肤二级烧伤***

QQ截图20170112150055.png

布里斯班妈妈 Kirsty Hellmech表示,去海滩当天,她到ALDI超市买了这款防晒霜- Banana Boat aerosol that had an SPF of 50 plus ,在到海边之前20分钟左右,给9岁的女儿涂抹防晒霜,之后女儿在昆州Rainbow Beach海滩仅仅玩了45分钟,皮肤就被烧伤。

女儿当时跑过来说后背像火烧一样。

然后她就把上衣掀起来,背上一片深粉红色,有些地方已经已经出现水泡。随后被医生诊断为二级烧伤。

QQ截图20170112150108.png

Hellmech女士表示,再怎么说女儿在阳光下仅呆了45分钟,即便没有任何防护,也不该伤成这样。

这和防晒霜有绝对关系。希望其他孩子不要再出现这种情况。


***9岁小男孩 面部二级烧伤***

QQ截图20170112150235.png

Melliiee Hunter 在Facebook上投诉,9岁的儿子在涂抹了 Banana Boat 防晒霜后,胳膊,脖子,后背,嘴唇,脸颊都出现了烧伤。经鉴定属于面部二级烧伤。

QQ截图20170112150232.png

孩子疼的直哭。

孩子妈妈Hunter女士气愤的表示,要走进每一家售卖 Banana Boat 防晒霜的超市,告诉所有人这个防晒霜对孩子做了什么!!!

***悉尼俩成人烧伤***

QQ截图20170112150251.png

今年22岁的悉尼男子 Kayne ,和她的妹妹也是在涂抹了 Banana Boat 防晒霜之后出现皮肤烧伤。

Kayne 表示在下海前涂了一些,然后两个小时候觉得皮肤有点刺痛,还以为是太阳晒伤,于是又涂抹了更多的防晒霜,之后下海游泳,回来后皮肤灼痛的更加厉害了。

QQ截图20170112150241.png

Kayne表示之前其实不怎么用防晒霜,这次是在母亲坚持之下,为防晒伤就用了。

第二天起来,背上全是水泡。和他涂了同样防晒霜的妹妹也是一身水泡。

QQ截图20170112150245.png

【Cancer Council】

Cancer Council 也是澳洲父母的众多选择之一,很多药房、超市都有出售。价格很亲民,还有婴幼儿专用的类别,还有良好的口碑。

然而也并非是绝对安全的。

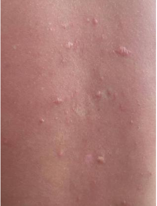
***昆州3个月大的婴儿在涂抹之后全身红疹***

QQ截图20170112150451.png

这个三个月大的昆州宝宝 Jessie Swan,在涂抹了Cancer Council的50+ Peppa pig儿童专用防晒霜后,全身红疹,并有灼伤症状。

QQ截图20170112150441.png

他的妈妈肯定的说,导致他变成这样的就是这款防晒霜,

QQ截图20170112150432.png

因为孩子根本就没晒过太阳!!!

QQ截图20170112150446.png

她将孩子的照片发到网上提醒大家注意,

QQ截图20170112150437.png

她在Cancer Council的Facebook写道:

“这是我3个月大的儿子,他从没晒过太阳,只是偶尔出门,我就给他擦了防晒霜,但是就是因为这个小猪佩奇的防晒霜,孩子全身通红烧伤,在医院已经住了3天。”

QQ截图20170112150413.png

***悉尼31岁的辣妈 Kim Cancellier 皮肤二级烧伤***

QQ截图20170112150345.png

这位悉尼辣妈 Kim Cancellier 本来是给女儿们买的这款防晒霜,但是心细的她先涂在自己身上做了测试。

QQ截图20170112150332.png

在太阳下晒了2小时后,她的皮肤便变得很红很薄,还很亮,并且非常疼痛!后鉴定为二级烧伤!!!

QQ截图20170112150323.png

她表示非常疼痛,而且过去4周,还没有恢复!!!

之后,Cancer Council公司表示,

他们的产品是经过医疗用品管理局批准并通过皮肤测试的:

QQ截图20170112150312.png

“我们向所有人保证,

我们的儿童防晒霜配方是绝对适用于幼嫩的皮肤,

相较其他产品,

我们的防晒霜含有极少的刺激性成分。

这些都只是个例,所以我们建议使用者先取少量进行局部过敏测试。”


看来还是物理防晒最靠谱。

QQ截图20170112150402.png

建议各位家长在选购防晒霜时尽量谨慎!!

话又说回来,这可都是国民级别防晒霜,大老百姓还要怎么谨慎!!!

144512soic6k1i1z1e0531.gif

还是选择物理防晒吧。一定要给孩子涂抹的话,可以像这位悉尼辣妈一样,先自己擦来试试,没有问题再给孩子用。

QQ截图20170112150202.png

那么娇嫩的皮肤,被烧伤该有多疼啊!!



更多图片 小图 大图
组图打开中,请稍候......
您需要登录后才可以回帖 登录 | 注册

本版积分规则

快速回复 返回顶部 返回列表